정밀한 분석으로 근본적인 원인을 판단하여
실패한 임플란트 성공시키는 치료
-
01
치료방법
치주치료 뼈이식 / (골증대술·잇몸 이식술)
임플란트 재식립 -
02
치료시간
1시간 ~ 2시간 -
03
마취방법
가글마취 후 무통마취 -
04
회복시간
3~4시간 뒤 부드러운 음식물 섭취 가능
01
치료방법
치주치료 뼈이식 / (골증대술·잇몸 이식술)02
치료시간
1시간 ~ 2시간03
마취방법
가글마취 후 무통마취04
회복시간
3~4시간 뒤 부드러운 음식물 섭취 가능
Check Point!
가능하다면 뼈이식 만으로 기존 임플란트를 살리려 합니다.무조건 기존 임플란트를 제거하기보다 잇몸염증 치료 후 가능하면 잇몸뼈 이식 만으로 기존 임플란트를 살리려 노력합니다.
두 번의 실패가 되지 않도록 제대로 된 치료계획을 수립합니다.정확한 원인분석 후 기존 임플란트 실패요인과 앞으로의 치료계획에 대해 자세하게 설명해 드립니다.
근본적인 임플란트 주위염 치료를 제대로 합니다.임플란트 주위염을 꼼꼼한 잇몸치료를 통해 확실하게 제거합니다.
책임감 있는 치료로 사후 관리까지 확실합니다.이제 더 이상 임플란트로 고통 받지 않도록 치료 후 관리까지 보장해 드립니다.
수 많은 재수술 임플란트 사례들로 믿음을 줍니다.어떠한 사례라도 더 이상 치아로 인해 고통스럽지 않도록 만족스러운 결과를 드리겠습니다.
실패 임플란트 재수술 추천대상
기존 임플란트 유착실패로
잇몸 염증이 심해지고
잇몸이 내려앉은 경우
기존 임플란트가
흔들리는 경우
기존 임플란트에서
통증이 느껴지는 경우
기존 임플란트로 인해 턱뼈에
무리가 생겨 저작활동이
불편하신 경우
2025년 10월 아래턱이 심하게 붓고 너무나도 아픈 모습으로 내원하신 70대 여성분 (사진1)과
X-ray 촬영 (사진2)후에 구강검진을 하여보니 임플란트를 식립한 모든 부위에 심한 부종과 통증이 그리고 고름이 흘러나오고 있었다.
(사진3) 그 부위를 열어보니 너무 촘촘히 박히고 임플란트를 제대로 식립 못하여 임플란트의 나사선들이 잇몸뼈에 제대로 들어가 있지 못하고 밖으로 노출되어 있었다.
저렴한 임플란트를 선전하는 병원들에서 임플란트를 필요이상의 박리다매의 현상을 보여주고 있다.
환자의 아래턱 뼈의 상태가 심한감염에 의하여 임플란트를 더 이상 심지 못하기에 양쪽 구치부위에 5개를 식립하고,
풀아치 고정성 보철물을 하여주기로 하였다. 국소마취후, (사진4)와 같이 감염된 모든 임플란트를 제거 후,
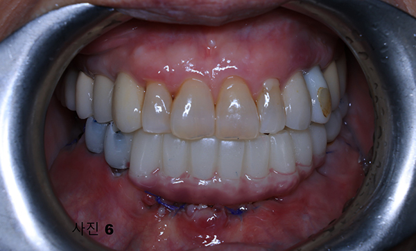
(사진5)과 같이 5개의 임플란트를 식립해 4개를 사용하여, (사진6)과 같이 본원에서 CAD/CAM을 이용하여 풀아치 임시 보철물을 제작하여
심미적,기능적인 면을 수술후 빠른 시간내에 환자분이 만족스럽게 임시치아를 만들어 주었다.





